En los vicios refractivos las imágenes no se enfocan en un punto específico de la retina (generalmente debido a una anormal curvatura o tamaño de las “lupas” naturales o cámaras del ojo) ; resultando en una percepción no nítida o distorsionada. Los vicios refractivos pueden presentarse en forma separada o combinados y son :
La imagen de lejos no se enfoca en la retina, si no por delante de ésta, en el vítreo. La imagen que se percibe es borrosa.
La imagen no se enfoca en la retina, si no por detrás de ésta. La imagen que se percibe es borrosa.
La imagen no se enfoca en un solo punto, si no en varios y en varias zonas del ojo. La imagen final, estará distorsionada:
Después de los 40 años, la capacidad de enfocar de cerca va disminuyendo. Se torna difícil leer y se tiende a alejar la lectura para poder enfocarla.
Las células de la retina y del nervio óptico pueden dañarse y dejar de funcionar por un aumento en la presión al interior del ojo asociado a trastornos vasculares. Este daño genera una silenciosa enfermedad denominada glaucoma crónico que puede producir ceguera.
La fotografía clínica muestra un sector de la retina que incluye a un nervio óptico ( círculo azul). El nervio óptico está dañado por el glaucoma, por lo que se ha empalidecido, fruto de la pérdida de células.
El cristalino, la segunda “lupa” del ojo debe ser transparente para permitir una visión adecuada.
Con el envejecimiento normal o producto de un trauma o secundario a una inflamación crónica puede opacarse y dificultar la visualización o provocar encandilamiento
La retina (“red”), una fina película de células fotosensibles, tapiza el interior de la cavidad ocular. Su indemnidad garantiza el traspaso de la información visual desde el exterior al cerebro. Es muy importante una evaluación por un médico oftalmólogo a lo menos anual, para examinar en el fondo del ojo a la retina.
Para alcanzar la visión binocular, que nos permite apreciar el mundo en 3D, los globos oculares deben encontrarse perfectamente alineados, en las diferentes posiciones de la mirada. La pérdida de este paralelismo y de estos movimientos sincronizados desencadena un estrabismo permanente (se percibe todo el tiempo y fácilmente) o uno intermitente (difícil de detectar o pesquisado sólo por el médico). El origen de los estrabismos se encuentra en un fallo en el control de los músculos que mueven a los globos oculares y/o en la aparición de vicios refractivos significativos asociados a trastornos de la acomodación. Los estrabismos deben diferenciarse de los pseudo estrabismos presentes en lactantes o niños pequeños por el insuficiente desarrollo óseo nasal más la presencia de un pliegue de piel que cubre los cantos internos.
El tratamiento del estrabismo dependerá de su causa y tipo. Frecuentemente se requiere el uso de lentes, de parchado o de cirugía sobre los músculos extra oculares para lograr el alineamiento.
En etapas muy avanzadas de la enfermedad, el paciente nota que ha perdido visión periférica (lo que se ve por los costados) y comienza a chocar con objetos que pasan por sus lados. Incluso hasta la etapa terminal de este mal, el afectado logra conservar una “visión de túnel” que le permite sólo ver de frente, para luego perderla totalmente. El afectado cree que la ceguera fue abrupta, cuando realmente el padecimiento se produjo varios años atrás.
La precoz detección por parte del oftalmólogo ayudado por exámenes específicos, garantiza su neutralización. Su tratamiento consiste en la aplicación de colirios antiglaucomatosos, y en algunos casos: en la cirugía.
Atrás
Cuando el deterioro visual producido por la catarata entorpece las actividades de la persona; debe ser operado. La cirugía de catarata actual o facoemulsicación ultrasónica permite, a través de micro incisiones introducir finas sondas que aspiran el cristalino cataratoso y en su lugar implantan un lente que permita enfocar.
Tras una rápida recuperación posquirúrgica se recetarán lentes ópticos para neutralizar defectos residuales. Si la retina y el nervio óptico se encuentran en buen estado: la visión obtenida satisfacera plenamente las necesidades del operado.
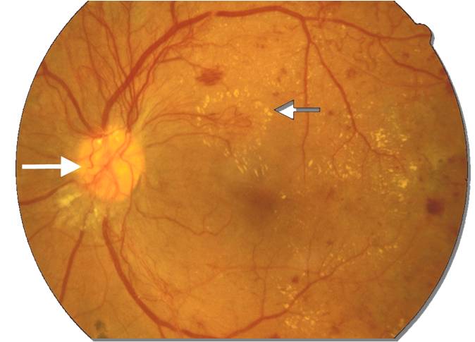
Cuando la diabetes y la hipertensión arterial no son tratadas a tiempo y el paciente no las controla, causan un daño que puede llegar a la ceguera. Cuando, dentro de la clasificación del daño, se alcanza cierto nivel, se requiere la aplicación de láser médico para impedir la pérdida total de la visión. Sin embargo si el paciente es incapaz de controlar su enfermedad crónica; el daño sobre la retina seguirá avanzando inexorablemente.
El desprendimiento de retina es una urgencia oftalmológica y requiere cirugía. Entre los pacientes más afectados se encuentran los miopes, los pacientes que han padecido traumas o cirugías oculares y los afectados por cualquier enfermedad retiniana. Puede sospecharse cuando se comienzan a visualizar manchas volantes o destellos luminosos y sobre todo que se percibe la pérdida abrupta de un sector del campo visual.
Atrás La Visión Deficiente